Menu
Write a review
File a complaint
Western Dental Services Profile

Western Dental Services

www.westerndental.com

Learn how the rating is calculated

2.1

Overall reputation rating based on reviews and complaints

Western Dental Services has an overall reputation rating of 2.1/5 based on 4 reviews and 295 complaints, indicating that the majority of dental patients are somewhat dissatisfied with dental care.

Claim Your Business
Take control of your profile: address complaints and engage with reviews
Write a review File a complaint

Western Dental Services Complaints Page 4 of 15

ComplaintsBoard
D
7:43 pm UTC
Featured review
This review was chosen algorithmically as the most valued customer feedback.

I am filing this formal complaint since no one has been able to help me at the western dental office. They are billing me incorrectly and threatening to send me to collections for an amount I do not owe. However every time I try to get information about my amounts I owe, I am told no one can help me correct this and that that is not their problem. I have...

Read full complaint
ComplaintsBoard
S
11:04 pm UTC
Featured review
This review was chosen algorithmically as the most valued customer feedback.

I signed a contract with the western dentist office located at 470 n los robles ave pasadena ca 91101, for a new set of dentures. Western dental was deducing payments from my wells fargo checking account every first of the month, they never provided me with what I paid for in fact, my bottom jaw is formed is different which they don't consider that, I...

View 0 more photos
Read full complaint
ComplaintsBoard
L
1:45 pm UTC
Featured review
This review was chosen algorithmically as the most valued customer feedback.

I agreed to receive in February 2020 & pay for upper & lower dental implants. The actual implant procedure went well, four upper & two lower. However, there's been an ongoing negative issues which started approximately in July with the proper fitting of upper denture. To address this issue I was advised that a new denture should be made and after several...

Read full complaint
ComplaintsBoard
V
4:33 am UTC
Featured review
This review was chosen algorithmically as the most valued customer feedback.

On november 12, 2020 I took my son to his orthodontist apt and was denied his scheduled visit due to me owing them money, I offered to pay some the following day but wouldn't accept it, so I called billing and spoke to sylvia who was very rude, she said I have been behind since covid started. Yes I was i'm not denying it but I also caught up with payment...

Read full complaint
ComplaintsBoard
D
8:26 pm UTC

Western Dental Services I had an appt for a filling

On Tuesday oct 5 after an appt with my periodontist where I had a deep cleaning and X-rays, I was told I had a cavity. I called western dental and explained everything to them and they gave me an appt to have the filling done on Friday at 10 am. the appt was con firmed o n Thursday, that I was bringing my X-rays and that they would do the filling. When I arrived at 9:45 in. Friday they said they would not do the filing and that I had to undergo X-rays etc and that they would not have time to do the filling.
I am disgusted with the way I was treated, I lost a day of work and I will never go there again and I would do anything I can to discourage people from. using this service. I asked to see the dentist and the office manager Lynne could not have been nastier.and would not let me speak to the dentist
Sincerely
Linda Estis

Read full complaint
Hide full review
ComplaintsBoard
G
5:17 pm UTC
Featured review
This review was chosen algorithmically as the most valued customer feedback.

Its always a problem finding my account every appontment. And I have come to the Western Dental Countless times. Records that are suppsed to be there. Im told they dont have. This company is fraud. They are charging large sums of money and treating parients for cash under the table. And over charging patient's with coverage plans.

View 0 more photos
Read full complaint
ComplaintsBoard
R
2:34 pm UTC

Western Dental Services Appointment scheduled

My son had his 6-months dental checkup in July and was told we were going to be called when a pediatric dentist is available sometime in August - never received any call. He was also scheduled for an ortho screening in September 11am and was told to wait in the car, 2 hours passes still no call and no one answered our call in the office!

Read full complaint
Hide full review
ComplaintsBoard
C
2:38 pm UTC

Western Dental Services Infection control during covid19

My daughter had an appointment for a general exam when the dentist came in to do the exam he put both of his fingers in my daughter's mouth without wearing gloves. She now has a sore on her tongue and on the back of her throat. I find this very risky and very unprofessional considering we're in the midst of a pandemic

Read full complaint
View 0 more photos
Hide full review
ComplaintsBoard
T
1:44 pm UTC

Western Dental Services Service

Last week I had an appointment to fit my dentures. Gave my information and was told to wait outside will call you. Well I don't have a cell phone, there were two people waiting in back of me with no masks on. I told the lady I was going to wait inside because of the two without masks. So I sat there and waited 45 min. They finally called me up to the desk and said were sorry but your denture have not come in. So I asked why didn't you tell me when I got there? Then I got the brainless wonder look. I asked them to let me know either way before my next appointment if they come in. Nothing! My appointment is today so I called to see if they came in. Of course no one will answer the phone. Then finally got through to some one who tried 5 times and she could not get through either. I am 66 and have been doing everything possible not to catch the virus. And I don't want to go out if I don't have to. But you will not answer the phone. Your office needs to require masks. I paid $12000 cash and have been treated like crap. I will not recommend them to anyone!

Read full complaint
Hide full review
ComplaintsBoard
K
12:20 pm UTC
Featured review
This review was chosen algorithmically as the most valued customer feedback.

I have had my denture mold sent back 4 times to 2 different companies to fix the issue to no avail, the fit is completely off 4 times The dentist measured my bit with a sharpie pen and a ruler extremely Un professional, my account is paid in full and its been 5 months + In want my money back and I will find a real dentist that can fix the continued issues this place has caused

Read full complaint
ComplaintsBoard
S
3:11 pm UTC
Verified customer The reviewer confirmed their account using Google. Learn more
Featured review
This review was chosen algorithmically as the most valued customer feedback.

I went in to have some cavities done and when the dentist was doing a filling on one of my front teeth he almost drown me. There was water going up my knows and I could not breath multiple times. The second time I was sufficating was when he was doing a filling on a back tooth of mine and he had his hand so far in my mouth he was blocking my means of...

View 0 more photos
Read full complaint
ComplaintsBoard
P
5:35 pm UTC
Featured review
This review was chosen algorithmically as the most valued customer feedback.

I called this office on 10/12/2019 around 1:20 pm for my billing updated. She said can not do that and try to give me another number to call. I asked her if she sure can not do that? I believe she was getting rage and hang-up. To Western Dental. This person is unprofessional customer services. Should i deserve to have service with Western Dental with the kind of very rude and so temper of this kind of person services?

Read full complaint
ComplaintsBoard
A
12:48 am UTC
Featured review
This review was chosen algorithmically as the most valued customer feedback.

Worst dentist ever. I had a tooth pulled and he left pieces of sharp tooth still in my mouth. He didn't even look when he pull the tooth, to make sure he had everything out. The first day when I get home and the numbing wear off. I noticed that there a sharp piece still in my mouth stabbing my gums. So, I had to use my finger and force that sharp piece off...

View 0 more photos
Read full complaint
ComplaintsBoard
A
10:53 am UTC

Western Dental Services billing

I disputed a transaction because I did not authorize the payment however it's been almost 10 business days and I have yet to receive my refund.So after that I told them to take my debit card information off my account they still managed to process a payment I had spoke to someone prior and they said my card was no longer linked so now I have to dispute another transaction

Read full complaint
Hide full review
ComplaintsBoard
N
1:57 pm UTC

Western Dental Services ortho

Requested void on 8/5/2019. Void was approved. I Was told payment refund would take up to 72 hours to post. As of 8/9/2019 No funds have been posted to my card. All operators are giving me the run around and have no knowledge of what to do or how-to handle the issue. The payment is still pending on my account. I need my money refunded asap. Thank you

Read full complaint
Hide full review
ComplaintsBoard
B
7:19 am UTC

Western Dental Services brand of implant

Dear Western Dental,

I got an implant at the Corona office on Main several years ago. It is now loose and I have since changed dentists. My current dentist reached out to you regarding the brand of the implant because the screw needs to be replaced. They spoke to a Stephanie who gave us measurements but not the brand of the implant that we were inquiring about. On another call, she told me the dentist wanted to see me and I would have to come in to get this information. I told her I am not coming in and I am requesting this information to be given to me over the phone. Then last week she promised I would be able to find out the brand of my implant by Friday, August 2nd. I have still not received a call with the information I have requested.

I am worried that my implant is going to break as it is very loose. Would somebody please be able to provide me the information I am requesting? I didn't think it would be this complicated.

Thank you,
Bethany Carlson
[protected]

Read full complaint
Hide full review
ComplaintsBoard
A
8:14 pm UTC

Western Dental Services dr kwon

This Dr should not be allowed to work whit children she does not know how to deal whit children she is rude and unprofessional they way she tread my son today and the other last app any parent will not tolerate I walk out today I told them how can you let this dr work whit kids staff say I don't know really ?! This dr can not work whit kids she looks mad and the way she grabs the children will get any parent mad I don't grab my kids like this

Read full complaint
Hide full review
ComplaintsBoard
J
5:09 pm UTC
Verified customer This complaint was posted by a verified customer. Learn more
Featured review
This review was chosen algorithmically as the most valued customer feedback.

This is the second time I've been cut off from a conversation with a front desk worker at Western dental in Merced California. Then I call customer service to see who I can talk to to make a complaint. They put me through to a supervisor who ends up hanging up on because I raise my voice y I raised my voice is after I explain to her what my complaint is she...

Read full complaint
ComplaintsBoard
K
2:57 am UTC
Featured review
This review was chosen algorithmically as the most valued customer feedback.

I've just been informed that the western dental in huntington park, ca has a employee working as a dental assistant by the name of brenda escamilla, she's not certified to perform those duties, my sister goes to that location often and didn't want to make the complaint. She needs to be removed as dental assistant asap before a patient gets injured I hope...

Read full complaint
ComplaintsBoard
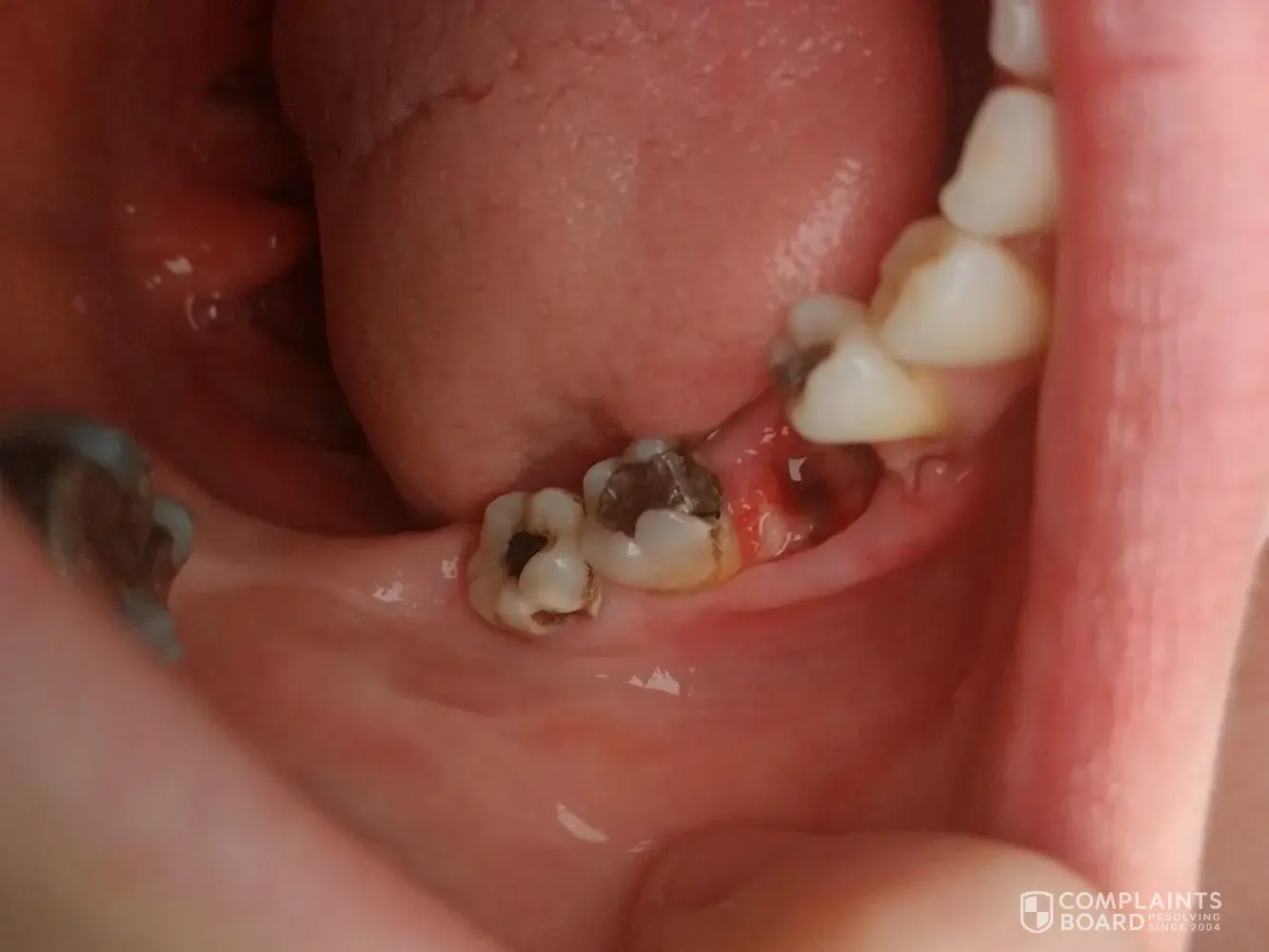
J
1:43 am UTC

Western Dental Services dental work

I was in the office for 5 hours. 1 hour was just waiting to get called back even though no one was in the waiting room 4 hours of the dentist trying to get an abscessed tooth removed. I was given the lowest amount of ibuprofen (600mg) and amoxicillin you could get and was told that's the highest he could give me. He took so much of my gum out that now my other tooth is exposed. I dont think my infection is even gone yet. I still have alot of jaw pain and can feel a lump still. I have pictures from the day it was pulled along with after.

Read full complaint
View 0 more photos
Hide full review
Trust badge
Collect Your Trust Badge
Be recognized for outstanding customer service